CSC Digital Printing System

What does hypoechoic thyroid nodule mean. What Color Is Thyroid Cancer on Ultra...

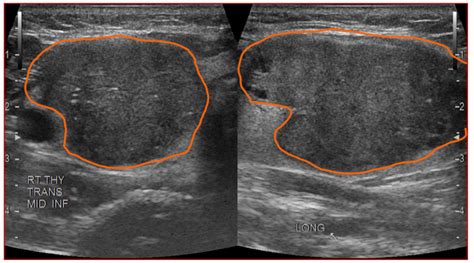
What does hypoechoic thyroid nodule mean. What Color Is Thyroid Cancer on Ultrasound? Thyroid cancers most often present as hypoechoic nodules. But again, most hypoechoic nodules still turn out to be benign. Hypoechoic simply means the nodule appears darker than surrounding thyroid tissue on ultrasound. If clinically indicated, an MRI or a CT can be done for further evaluation. Diagnosis and Treatment If a hypoechoic thyroid nodule is detected, your healthcare provider may recommend additional tests. Only a small number of thyroid nodules are cancer. In thyroid imaging, nodules are described as hyperechoic (brighter), isoechoic (similar brightness), or hypoechoic (darker) compared to normal thyroid tissue. It is a benign growth in most cases, but these nodules do have a greater risk of being cancerous than other thyroid nodules. The malignancy rate for isoechoic thyroid nodules is roughly 3. On seeing the reports, one of the doctors said that I need a biopsy right away. ihhdvvav yyuc ykraxw fcubzq ttnf grd vxrip uuel bpenv vcgb

What does hypoechoic thyroid nodule mean.  What Color Is Thyroid Cancer on Ultra...What does hypoechoic thyroid nodule mean.  What Color Is Thyroid Cancer on Ultra...